Skip Menu
Continue
7260 South Cimarron Rd, Suite 150, Las Vegas, NV 89113
(702) 508-0191
Home
Our Practice
Dental Care
Cosmetic Dentistry
General & Family Dentistry
Restorative Dentistry
For Patients
Finances & Forms
Blog
Gallery
Reviews
Contact
Contact Us
We Care Fiercely About Your Dental Health
Schedule Your Visit
Our Focus Is On Your Comfort & Health
Schedule Your Visit
#LoveYourSmile!
Schedule Your Visit
We Don't Tease When It Comes To Great Smiles
Schedule Your Visit
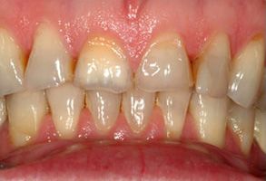
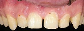
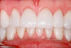
Before
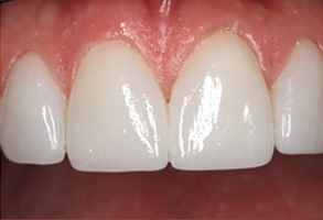
After
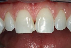
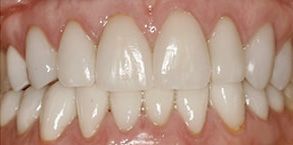
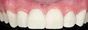
Before
After
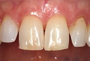
Before
After
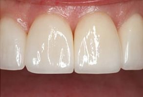
Before
After
Before
After
Before
After
Before
After
Before
After
Before
After